אולטרה סאונד

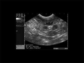
עובר כלב בן 6 שבועות כפי שהוא נראה באולטראסאונד. הקיווקווים הם הצלעות ב"חתך". ניתן להבחין בבועית הקיבה ובית החזה

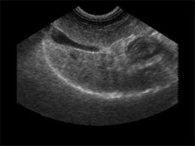
עוד עובר מקסים בן 6 שבועות

אולטראסאונד אצל כלבה עם דלקת כרונית של כיס המרה (מימין) ווריד נבוב מורחב מאד. הכלבה הייתה חולה בסכרת על רקע הורמונאלי עקב גידול ממאיר של הלבלב

אבן בכיס מרה

כליה